
多顆植牙全口重建
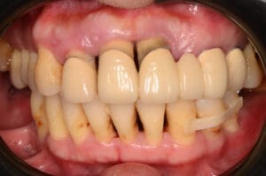
62歲患者h小姐上排因假牙相連,不易清潔導致牙周問題,牙齒陸續搖晃,之前做的假牙時間較久外部燒陶瓷部


62歲患者h小姐上排因假牙相連,不易清潔導致牙周問題,牙齒陸續搖晃,之前做的假牙時間較久外部燒陶瓷部

不只要補,還要越快越好 缺牙不只影響美觀自信,也可能造成諸多後遺症 鄰牙位移、傾斜至缺牙處 缺牙處的

上顎缺牙導致進食不變,想尋求重建方式 因上顎後牙缺牙時間過久造成大量骨質萎縮,需先做鼻竇增高及補骨手

長期牙周病嚴重導致反覆的牙痛不適與進食困難,又恐懼牙科治療,尋求協助 牙周破壞嚴重,骨頭所剩不多,造