
桃園中壢植牙費用多少錢?PTT/Dcard 推薦:4 萬塊真的能做嗎?(2026 最新版)
植牙是許多缺牙患者的首選療程,尤其是追求咀嚼力與外觀兼具的你。 如果你正在找尋桃園或中壢的植牙醫生推


植牙是許多缺牙患者的首選療程,尤其是追求咀嚼力與外觀兼具的你。 如果你正在找尋桃園或中壢的植牙醫生推

影響植牙成功率的因素,除了醫師的臨床經驗與技術外,植體系統的品質與設計也扮演關鍵角色。 選擇合適的植

長期缺牙、牙齒鬆動、牙周病、咬合不正,甚至經常感到「咀嚼困難」、「說話不清楚」,不只帶來生活上的不便

L先生自述以前做的上顎長牙橋開始會搖晃,吃東西不穩,經友人介紹來藝心掛號,想諮詢如何以植牙方式重建,

長期缺牙、牙齒鬆動、牙周病、咬合不正,甚至經常感到「咀嚼困難」、「說話不清楚」,不只帶來生活上的不便

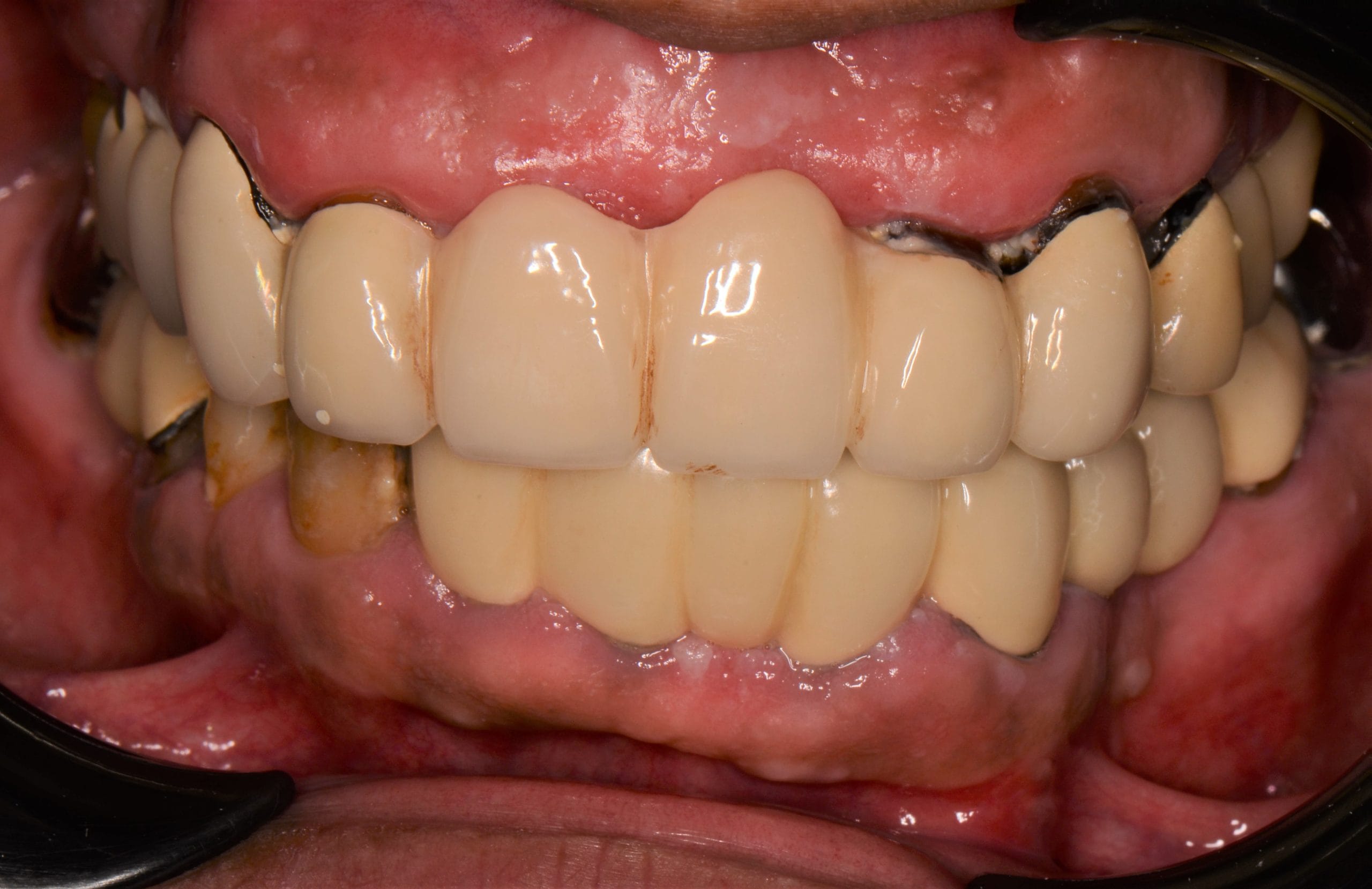
54患者D先生因為牙周病的緣故,導致上排牙齒變搖,原有的活動假牙也沒辦法施力,反而造成其它牙齒也陸續

64歲W先生下顎因牙周問題掉了很多牙齒,且下顎兩側中後區長期缺牙,導致上排的自然牙逐漸往下掉。咬合的

W先生因上顎牙齒搖晃度嚴重,咬合無力,來到藝心就診。 經院長臨床評估,因上顎嚴重牙周病,不建議保留自

54歲患者L先生因患有糖尿病,上下顎缺牙長期佩戴活動假牙,後來其他牙齒的牙周狀況越來越差,陸續拔除到

52歲J小姐因上顎牙周破壞嚴重,導致牙齦萎縮、牙根裸露,且牙齒有明顯的搖動,吃東西時咬合使不上力,故


影響植牙成功率的因素,除了醫師的臨床經驗與技術外,







